На информационном ресурсе применяются рекомендательные технологии (информационные технологии предоставления информации на основе сбора, систематизации и анализа сведений, относящихся к предпочтениям пользователей сети "Интернет", находящихся на территории Российской Федерации)

Территория здоровья

130 подписчиков

Свежие комментарии

  • Маша Потапова7 июня, 22:58
    Мне кажется здесь в первую очередь не в позах, а в опыте партнер и как настроена девочка.Самые безболезнен...

Опубликованы снимки пораженных коронавирусом легких

Опубликованы снимки пораженных коронавирусом легких

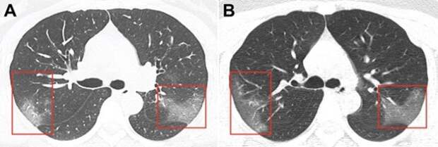
Китайские медики опубликовали фотографии легких пациентки, которая заразилась коронавирусом 2019-nСоV. Изображения, опубликованные в журнале Radiology 31 января.

Снимки были получены в результате компьютерной томографии 33-летней женщины, госпитализированной в китайском городе Ланьчжоу с температурой 39 градусов.

Снимки были сделаны с разницей в три дня. На первом из них в низу легких уже заметны зоны поражения инфекцией — они похожи на большие светлые области. На снимке, сделанном спустя три дня уже заметно, что зона поражения расширяется.

Опубликованы снимки пораженных коронавирусом легких

Накануне Daily Mail уже писало об этой пациентке. Тогда тоже отмечалось, что за три дня ее легкие серьезно трансформировались, и это было видно по снимкам рентгена.

Ранее Всемирная организация здравоохранения признала вспышку коронавируса 2019-nCoV чрезвычайной ситуацией международного значения.

Последние данные по коронавирусу:

● Точно инфицировано: 14555 (+2515)

● Из них в тяжелом состоянии: 2110 (+315)

● В карантине: 137594 (+19116)

● Возможно инфицировано: 19694 (+1556)

● Выздоровело: 334 (+89)

● Смертей: 304 (+45)

Ссылка на первоисточник
Рекомендуем
Популярное
наверх